|
Reply |
Message 1 of 7 on the subject |
|
| From: IGNACIOAL (Original message) |
Sent: 11/08/2013 16:26 |
____________________________ La Enfermadad del Neguijón
"Enfermedad que da en los dientes que los carcome y pone negros "
____________________________
La Enfermedad dental , coexiste con el hombre desde los albores de la Humanidad, se ha encontrado en momias egipcias, se tienen evidencias de que los egipcios , ya por el año 3000 a. C. , realizaban extracciones dentales ( exodoncias ) y trepanaban la cortical externa de la mandíbula , para drenar abscesos odontológicos . Se sabe que el primer odontólogo conocido fue Hesi - Re , en la Tercera Dinastía , encargado de aliviar las dolencias dentales de los faraones , fue el primero en asociar las enfermedades dentarias con el resto de la Medicina .
CARIES Y ORIFICIOS DE TREPANACIÓN EN MOMIA EGIPCIA
Los Mayas , realizaban incrustaciones de jade y turquesa en cráneos con propósitos rituales y religiosos o según algunos investigadores por motivos estéticos. La pieza se exhibe en el Museo Nacional de Antropología de México .
CALAVERA MAYA SIGO IX a. C . PRIMERA INCRUSTACIÓN DENTARIA
Los Etruscos , efectuaban prótesis fijas , como la pieza que se muestra abajo, del siglo IV a. C. , que se encuentra en el Museo Escuela Dental de París . Está construida con una banda de oro , en la que se incrsutan dientes animales , para reemplazar piezas faltantes .
PRIMERA PRÓTESIS FIJA DENTARIA CONOICDA HALLADA EN UN PUEBLO ETRUSCO - SIGLO IV A. C.
Basten estos ejemplos históricos , para comprender la necesidad de dar respuesta terapéutica al sufrimiento humano a lo largo de la historia . La Odonto - Estomatología ha evolucionado con los nuevos conocimientos y tecnologías , hasta límites insospechados , nuevos materiales , implantes, ortodoncias, reparaciones maxilofaciales etc .
Veamos a continuación , el abordaje de una plaga que devastó las bocas de las gentes de épocas pasadas , por las malas condiciones higiénico-dietéticas , que ocasionaron hambrunas , plagas , guerras , pobreza y desconocimiento . El NEGUJÓN (del sup. lat. «nigellĭo, -ōnis», de «nigellus», dim. de " niger ", negro ) , la CARIES DENTAL DE NUESTRO TIEMPO . ( 3 )
|
|
|
First
Previous
2 to 7 of 7
Next
Last
|
|
Reply |
Message 2 of 7 on the subject |
|

FERNANDO A. NAVARRO . Es traductor médico profesional (con formación previa como médico especialista en farmacología clínica), socio de honor de Tremédica y docente del «Máster en Traducción Médico-Sanitaria» de la Universitat Jaime I.
Coordinador técnico del Diccionario de términos médicos de la Real Academia Nacional deMedicina; coordinador de la bitácora semanal «Laboratorio del lenguaje» en Diario Médico; miembro fundador de MedTrad; académico correspondiente de la Academia Norteamericana de la Lengua Española (Nueva York) y de la Real Academia de Medicina de Salamanca; socio de honor de Asetrad y miembro de honor de la Asociación Internacional de Profesionales de la Traducción y la Interpretación
Creo no equivocarme al suponer que pocos lectores de Diario Médico sabrían decir qué cosa es un neguijón, término médico que nuestros colegas de hace cuatro siglos usaban con toda soltura.
No es grave esta ignorancia en un médico de nuestra era, pues el término neguijón designa un concepto etiopatogénico ampliamente superado en patología dental. Confieso, de hecho, que yo mismo desconocía la palabra hasta que, hace ya un lustro, leí una novelita ambientada en las ciudades de Sevilla y Lima allá por los albores del siglo XVII y escrita por un tocayo mío —el escritor peruano Fernando Iwasaki—, que llevaba por título, precisamente, Neguijón. FERNANDO A. NAVARRO
Según una creencia antiquísima, que algunos hacen remontar hasta asirios y sumerios, durante más de dos mil años los médicos antiguos atribuyeron la caries a un gusano que anidaba en el interior de las piezas dentales, se nutría de su meollo y las iba carcomiendo y corroyendo lentamente, en un proceso que nuestros colegas de antaño consideraban causa directa del atroz dolor de muelas. Y a ese asqueroso gusanejo es a lo que llamaban neguijón, voz castellana derivada del latín nigellus, diminutivo de niger (negro), por el desagradable color de las cavidades negruzcas tan características de la caries.
 
FERNANDO IAWASAKI - "NEGUIJÓN " ( Escritor peruano afincado en Sevilla ) . Según la Real Academia de la Lengua Española, neguijón es una enfermedad de los dientes, que los carcome y pone negros. Desde siempre la palabra ha estado ligada al universo dental. Antiguamente era el nombre con el que se nombraba a un gusanillo que vivía entre los dientes corruptos y encías putrefactas.La obsesión por encontrar este gusanillo y buscar una forma de eliminarlo es el detonante con el que comienza la novela Neguijón del escritor peruano, Fernando Iwasaki.La obra está ambientada en el Siglo XVI, el llamado Siglo de Oro de la literatura española. El protagonista es un sacamuelas de la época llamado Gregorio de Utrilla que atiende a todas las personas que prefieren un momento de tortura en vez de padecer un terrible y permanente dolor en su boca. Algunos críticos de la obra aseguran que al leer el libro agradecieron vivir en esta época, donde existe la anestesia. Para comprender el horror que se vivía durante una operación dental en aquellos años, el libro reproduce en sus páginas decenas de ilustraciones del instrumental utilizado, acompañado también por grabados que muestran a los primeros odontólogos de la historia en plena acción. Cuando el libro fue publicado en el año 2005, el autor y su editorial decidieron que la mejor forma de promocionarlo era presentándolo directamente con aquellos que pudieran estar más interesados y que tuvieran mayores conocimientos en el tema: los odontólogos. El autor, por su parte, asegura que la obra pretende mostrar cómo en aquella época estaban convencidos de que el mundo estaba siendo devorado por los gusanos, afirmación que fue admitida tanto por la iglesia como por los médicos de la época. El mito del neguijón ya era viejo en el Siglo XVI, pues se sabe que en las tablillas del Código Hammurabi, uno de los primeros textos de la historia, ya se hablaba del perverso gusano de los dientes. El mismo William Shakespeare en su obra Mucho ruido y pocas nueces, publicada en 1600, dedica algunas líneas al escurridizo y maligno animal.
59:13 Fernando Iwasaki en "El Público Lee" (2005)
4:47 Neguijón: Capítulo 3. Fernando Iwasaki
|
|
|
|
Reply |
Message 3 of 7 on the subject |
|
En la medicina europea, la creencia generalizada en estos neguijones responsables de la caries tardó en desaparecer por completo hasta bien entrado el siglo XVIII, tras la publicación en París de la obra en dos volúmenes Le chirurgien dentiste ou traité des dents (1728), del cirujano francés Pierre Fauchard, que marca el nacimiento de la odontología moderna.

PIERRE FAUCHARD ( 1678 - 1781 ) . Es considerado el padre de la Odontologia Moderna , por su aporte de sintetizar y sistematizar los principales conocimientos sobre Odontología en Occidente, en su obra "Le Chirugien Dentiste; ou, Traité des Dents". Se le reconoce con especial valor su espíritu de compartir y difundir el conocimiento, acto poco común en su época. ( 1 )
El neguijón ha sido estudiado y tratado a lo largo de la Historia de la Medicina , hoy lo conocemos como CARIES , y se ha descubierto un agente infeccioso responsable , una bacteria , el Estretococo Sanguis - Estreptococo Mutans , que aparece en todas las muestras y medios de cultivo de tejidos odontológicos , junto a otra flora diversa saprofita de la boca ( gérmenes que viven en la cavidad oral , porque ese es su habitat ) .
|
|
|
|
Reply |
Message 4 of 7 on the subject |
|
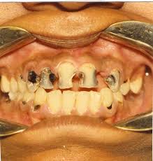
  CARIES. Es una enfermedad multifactorial que se caracteriza por la destrucción de los tejidos del diente como consecuencia de la desmineralización provocada por los ácidos que genera la Placa Bacteriana . Las bacterias fabrican ese ácido a partir de los restos de alimentos de la dieta que se les quedan expuestos. La destrucción química dental se asocia a la ingesta de azúcares y ácidos contenidos en bebidas y alimentos. La caries dental se asocia también a errores en las técnicas de higiene así como pastas dentales inadecuadas, falta de cepillado dental, o no saber usar bien los movimientos del lavado bucal, ausencia de hilo dental, así como también con una etiología genética. Se ha comprobado asimismo la influencia del pH de la saliva en relación a la caries. Tras la destrucción del esmalteataca a la dentinay alcanza la pulpa dentaria produciendo su inflamación, PULPITIS, y posterior necrosis (muerte pulpar). Si el diente no es tratado puede llevar posteriormente a la inflamación del área que rodea el ápice (extremo de la raíz) produciéndose una PERIODONTITIS APICAL, y pudiendo llegar a ocasionar un ABSCESO DENTAL, una celulitis o incluso una ANGINA DE LUDWIG . ( También denominada Flemón difuso hiper séptico y gangrenoso de piso de boca, es una infección severa y mortal de origen dental, en la que el pus invade gravemente cara, cuello, vías respiratorias y pulmones ) . Sus factores etiopatogenicos identificados son : Anatomía del diente ( genética ) , tiempo ( formación de Placa Dental ) , dieta ( carbohidratos - azúcares / alteraciones de pH ) y bacterias ( Estreptococos y otras bacterias ) ( 2 )
|
|
|
|
Reply |
Message 5 of 7 on the subject |
|

PULPITIS PERIODONTITS
|
|
|
|
Reply |
Message 6 of 7 on the subject |
|
ABSCESO DENTAL - ABSCESO MANDIBULAR
|
|
|
|
Reply |
Message 7 of 7 on the subject |
|
ANGINA DE LUDWIG - DRENAJES Es necesario concienciar a la población ( Educación para la Salud ) , sobre todo a la infantil , de la necesidad de una correcta alimentación e higiene bucodental , con el uso de pastas fluoradas , correcta utilización del cepillo y de la seda dental , así como el uso de colutorios despueé de las comidas .1-http://medicablogs.diariomedico.com/laboratorio/2011/02/18/neguijon/FERNANDO A. NAVARRO - LABORATORIO DEL LENGUAJE / NEGUIJÓN .2-http://es.wikipedia.org/wiki/Caries CARIES .3-http://www.odontomarketing.com/odontologiahistoria.htm HISTORIA DE LA ODONTOLOGÍA - PASADO , PRESENTE Y FUTURO DE LA PRÁCTICA DENTAL .
|
|
|
|
First
Previous
2 a 7 de 7
Next
Last
|