|
Rispondi |
Messaggio 1 di 11 di questo argomento |
|
| Da: IGNACIOAL (Messaggio originale) |
Inviato: 23/12/2013 18:03 |
El Espacio de Destot y la Crucifixión - 1
CRISTO SINDÓNICO DE MIÑARRO
DETALLE DEL CLAVO EN LA MUNÑECA DEL CRUCIFICADO
CRISTO SINDÓNICO DE MIÑARRO . El Prof . Miñarro , ha situado con toda precisión en su Cristo tridimensionalizado , a partir de su trabajo con el Lienzo de Turín , también conocido como Sábana Santa , el punto preciso en el carpo - muñeca , donde el clavo penetró y fijó a la madera de la cruz el miembro superior del Hombre de la Síndone . Es en un lugar anatómico , conocido como Espacio de Destot , en honor al médico - anatomista , que lo describió . Tiene su lógica antómica y biomecánica , ya que es la forma de fijar con garantía el miembro , evitando que se desgarre la mano , por el peso y la tracción y se descuelgue del madero , si se efectúa el clavado en la palma de la mano , como reflejan por otra parte , todas las obras artísticas de la iconografía clásica conocidas hasta ahora . Este trabajo , muestra de su rigor y minuciosidad en la interpretación de este momento de la crucifixión , es apoyado por anatomistas , médicos - forenses y especialistas en Truamatología de manera incuestionable y refleja la veracidad de un hecho que hasta este momento , no se había tenido en cuenta .

|
|
|
Primo
Precedente
2 a 11 di 11
Successivo
Ultimo
|
|
Rispondi |
Messaggio 2 di 11 di questo argomento |
|

CRISTO YACENTE EN TRES DIMENSIONES OBTENIDO POR EL PROF . D . JUAN MANUEL MIÑARRO ( Catedrático de Bellas Artes e imaginero sevillano ) DEL LIENZO DE TURÍN . Se ha presentado en diversas exposiciones itinerantes , junto al resto de material , obtenido de su trabajo de investigación y recreación sobre el Hombre de la Síndone y a la representación de utensilios de tortura , como el flagrum romano , clavos , el diseño del casco de espinas ( mal llamada corona ) , estudio hematológico de los regueros y machas de sangre , lanzada del costado , etc . Basándose en estos trabajos , ha realizado la imagen de un crucificado , para la Hermandad de los Estudiantes de Córdoba , que procesionas por sus calles en la Semana Santa , de un realismo impresionante (Véase al inicio del artículo ) .
El espacio intercarpiano medial fue referido por primera vez por T.H. Bryce en 1896 en una radiografía de su propia mano tan sólo unos meses después del descubrimiento realizado por el físico W.C.Rötgen de los rayos que llevan su nombre, popularizados como Rayos X al desconocerse por entonces la real naturaleza de esa radiación que permitía la impresión sobre una placa fotográfica de las estructuras óseas.
Pero fue el anatomista , radiólogo y escultor francés Étienne Destot (1864-1918) el que realizara su descripción más precisa y la relación de su apariencia con las dislocaciones o subluxaciones del carpo.
Étienne Destot, pionero en Francia de la nueva disciplina médica, ( la Radiología ) abriría el primer gabinete en l´Hôtel Dieu de Lyon en 1896.
Escribió tres importantes monografías estableciendo la relación entre las imágenes radiográficas y los rasgos clínicos y anatómicos de los casos estudiados.
La traducción al inglés de la última de estas monografías en 1926, "Injuries of the wrist: A radiological study" ( " Las lesiones de las muñecas : un estudio radiológico ), divulgó sus trabajos.
El espacio intercarpiano medial o mesocarpiano medio es pués un espacio radiológico , entre la primera y segunda fila de los huesos del carpo, limitado por los huesos SEMILUNAR, PIRAMIDAL, GRANDE y GANCHOSO .Fue conocido por muchos médicos franceses como Espacio de Destot como podemos leer en la magnífica obra de Anatomía "Anatomy Atlases ".
|
|
|
|
Rispondi |
Messaggio 3 di 11 di questo argomento |
|
Y así, como espacio mesocarpiano de Destot, lo denominaría el cirujano francés Pierre Barbet en su magnífico estudio sobre las heridas de los clavos en la crucifixión de Jesús .
No es frecuente el encontrar trabajos científicos que aunando el rigor con la claridad hagan su lectura posible y fácil al lector medio con conocimientos anatómicos discretos.
Y ello sucede con el trabajo de Pierre Barbet, riguroso para el profesional conocedor de la anatomía y al mismo tiempo fácil y asequible para el lector interesado, que es al que va principalmente destinado.
Los experimentos que soportan el trabajo de Pierre Barbet, con amplísima experiencia como cirujano de “guerra” y como cirujano del Hospital de San José en París, sólo fueron repetidos y con los mismos resultados por otro cirujano coetáneo de Barbet, el Dr. Domenico Tarantini del “Ospedal Generale di Trani”.
En el Tabajo de Pierre Barbet , puede leerse :
“……… habiendo hecho una amputación del brazo en el tercio superior, tomé inmediatamente después de la operación un clavo de sección cuadrada, de 8 mm de lado (como los de la Pasión), cuya longitud reduje a 5 centímetros de largo para comodidad de la radiografía estando la mano plana, la cara dorsal sobre una tabla.
Coloqué la punta del clavo sobre el medio del pliegue de flexión de la muñeca, el clavo bien vertical.
Luego, con un grueso martillo, golpeé el clavo, como una persona mañosa que quiere clavar derecha una punta y como un verdugo que sabe pegar fuerte.
He repetido la misma experiencia sobre varias manos de hombre (la primera había sido hecha sobre una mano de mujer). Los resultados fueron siempre exactamente idénticos.
Atravesadas las partes blandas, el clavo aborda el carpo y, a pesar de mi mano izquierda que lo aferra, siento que se inclina un poco hacia dentro, penetra sin resistencia y sin problema, tras inclinarse un poco, de manera que la base se inclina hacia los dedos, la punta hacia el codo, para salir a través de la piel del dorso a un centímetro aproximadamente por encima del punto de entrada, lo que constato después de extraer el clavo del tablero.
Las radiografías hechas inmediatamente: Pensé que, a priori, que el clavo debía hundirse en el carpo y atravesar probablemente el semilunar aplastándolo.
Los movimientos del clavo durante su hundimiento me hicieron sospechar que había encontrado un camino más anatómico.
En efecto, sobre la radiografía de perfil, el clavo, un poco oblicuamente hacia atrás y hacia arriba, pasa entre las proyecciones del semilunar y del hueso grande, que están intactos.
La radiografía frontal es aún más interesante: la sombra del clavo cuadrado parece rectangular debido a su oblicuidad. El clavo entró en el espacio de Destot; apartó, sin romper uno solo, los cuatro huesos que lo limitan, contentándose con ensanchar su tamaño .
La disección de la pieza me confirma las comprobaciones radiográficas. El punto de entrada, mediano, estaba un poco por fuera del espacio de Destot, la punta al llegar a la cabeza del hueso Grande, ha resbalado sobre su cara interna, cayendo en el espacio y atravesándolo. Los cuatro huesos se han separado, intactos y sólidamente apretados, por su misma separación, sobre el clavo. Éste reposa por otra parte sobre el borde superior del ligamento anular.
El punto de salida es ligeramente más alto y ligeramente más interno que el punto de entrada.
Si yo hubiera plantado el clavo un poco más hacia dentro* del centro del pliegue, lo que hice en otras experiencias, habría caído directamente en el espacio de Destot, que está un poco hacia adentro del eje de la muñeca, en el eje del tercer espacio intermetacarpiano.
La oblicuidad del clavo para atrás y arriba es únicamente impuesta por la disposición de las superficies óseas alrededor del espacio de Destot, porque se reprodujo regularmente en todas mis experiencias, y eso a pesar de mi resistencia.
En efecto, he repetido después una docena de veces la crucifixión de las manos en brazos recién amputados, cambiando el punto de implantación del clavo siempre alrededor del medio del pliegue de flexion. En todos los casos la punta se orientaba ella misma pareciendo deslizarse por las paredes de un embudo y meterse espontáneamente en el espacio preformado.
………………
La última vez que dispuse de una mano fresca, tomé una hoja de bisturí de 8 mm. Incidí con ella en el pliegue de flexion de la muñeca y empujando, sin esfuerzo, atravesé el carpo sin encontrar resistencia para salir en el dorso de la mano siempre en el mismo sitio. Este sitio, sobre la mano de un hombre normal está siempre aproximadamente a 8 centímetros de la cabeza del tercer metacarpiano. Esta es la misma distancia que he medido sobre la Sábana.
Así que hay un pasaje anatómico preformado, un camino natural normal, por donde el clavo pasa fácilmente, en el que es mantenido muy sólidamente por los huesos del carpo estrictamente fijados por sus ligamentos distendidos y por el ligamento anular anterior, sobre el borde del cual él reposa .
………………
Pero estas experiencias me reservaban todavía otra sorpresa.
Yo operaba, he insistido en ello, sobre manos todavía vivas, inmediatamente después de la amputación del brazo
Entonces, comprobé, desde la primera vez, y regularmente en la continuación, que en el momento en el que el clavo atravesaba las partes blandas anteriores, la palma estando hacia arriba, el pulgar se flexionaba brúscamente y sobre todo se oponía en la palma, por contracción de los músculos tenares, al mismo tiempo que los cuatro dedos se flexionaban muy ligeramente probablemente por excitación mecánica refleja de los tendones flexores largos.
Las disecciones me revelaron que el tronco del nervio mediano estaba siempre gravemente lesionado por el clavo, seccionado, aplastado, al tercio, a la mitad o a los dos tercios, según los casos, pero siempre en su parte interna, que es únicamente sensitiva.
No estaba nunca totalmente seccionado. Siempre los nervios del abductor corto, oponente y flexor corto, que salen a este nivel del mediano hacia afuera, estaban intactos. La contracción de estos músculos tenares, todavía vivos como su nervio motor, se explica fácilmente por excitación mecánica del nervio mediano. No puede pues tratarse de la parálisis de estos músculos, como se ha pretendido. Al contrario, el nervio mediano, tenso, en su parte externa, motriz, intacta, sobre el clavo, recibía una excitación mecánica a cada movimiento.
El Cristo debió agonizar pues y morir y fijarse en la rigidez cadavérica con los pulgares oponiéndose en las palmas. Y es por ello por lo que sobre la Sábana, las dos manos vistas desde delante presentan sólo cuatro dedos, por qué ambos pulgares están escondidos en las palmas.” Pierre Barbet. “La passion de Jésus-Christ selon le chirurgien Dr. Pierre Barbet ”
|
|
|
|
Rispondi |
Messaggio 4 di 11 di questo argomento |
|
Pero fue con Yves Delage, no creyente, médico, biólogo, profesor de Anatomía Comparada en la Sorbona, con quien la Sábana Santa entró en el mundo de la Ciencia, escribía en su “Lettre á M. Charles Richet” . Revue scientifique n 22 du 31 mai 1902, pp.683-687.: "Les mains percées au carpe et non au métacarpe, conformément aux necessities anatomiques et contrairement à la tradition". (Las manos perforadas en el carpo y no en el metacarpo, conforme a las necesidades anatómicas y contrariamente a la tradición.) .
Tres teorías científicas sobre el tema que nos ocupa , han sido por orden cronológico la del cirujano Pierre Barbet, la del patólogo forense Fredercik T. Zugibe y finalmente la propuesta por los cuatros anatomistas de la Cátedra II de Anatomía Humana Normal - Facultad de Medicina – UNNE, Raúl Lagraña, Antonio Terraes , Diocles Revidatti y Diocles Revidatti (h).
TRES ESPACIOS ANATÓMICOS DEL CARPO. Vemos en esta radiografía centrada en la cara anterior del carpo los puntos, áreas o zonas en que cada una de esas tres teorías ubican el traspasar del clavo por la muñeca . Permitirían fijar con toda garantía al travesaño de la cruz , el miembro superior de un crucificado , sin que cayera al estar sometido a fuerzas de tracción y a su propio peso y por tanto desgarrarse las partes blandas , si se hubiera clavado al madero en el centro de la palmas de las manos . Quizás para este propósito , lo más adecuado era clavar el antebrazo pasando el clavo a través del Espacio de Destot del carpo .
|
|
|
|
Rispondi |
Messaggio 5 di 11 di questo argomento |
|
De abajo hacia arriba , en la imagen radiológica , tenemos : El cúbito y el radio , encima el carpo con sus huesecillos,los cinco metacarpianos y las falanges de los dedos de la mano .
La única posibilidad que tiene un clavo de atravesar la palma de la mano es penetrando entre los huesos metacarpianos, en los denominados espacios intermetacarpianos, no aptos para soportar una crucifixión.
ORIFICIO DEL CLAVO Y ESPACIO DE DESTOT
Aspecto de la mano de un crucificado por la afectación del nervio mediano que pasa por el tunel del carpo al ser interesado pro el clavo .
“Existen varias teorías que ubican en distintos sitios del carpo (muñeca) el lugar por el cual habría atravesado el clavo. Tienen en común que el carpo es el sitio de las manos que brinda mayor solidez y resistencia para soportar gran parte de la tracción ejercida por el peso de un cuerpo suspendido.” ( Lagraña, Terraes y los Revidatti, “Anatomía de la Crucifixión” )
“No se tiene en cuenta a los distintos espacios intermetacarpianos (palma) como el lugar atravesado por el clavo, dado que se produciría rápidamente el desgarro de partes blandas al ser traccionado por el peso del cuerpo; tampoco al espacio interóseo del antebrazo dado que no concuerda con las descripciones existentes”. Lagraña y col.
|
|
|
|
Rispondi |
Messaggio 6 di 11 di questo argomento |
|
“Existen varias teorías que ubican en distintos sitios del carpo (muñeca) el lugar por el cual habría atravesado el clavo. Tienen en común que el carpo es el sitio de las manos que brinda mayor solidez y resistencia para soportar gran parte de la tracción ejercida por el peso de un cuerpo suspendido.” ( Lagraña, Terraes y los Revidatti, “Anatomía de la Crucifixión” )
“No se tiene en cuenta a los distintos espacios intermetacarpianos (palma) como el lugar atravesado por el clavo, dado que se produciría rápidamente el desgarro de partes blandas al ser traccionado por el peso del cuerpo; tampoco al espacio interóseo del antebrazo dado que no concuerda con las descripciones existentes”. Lagraña y col. El trabajo de Frederik T. Zugibe “Pierre Barbet Revisited” http://www.shroud.com/zugibe.htm.
induce a errores de interpretación , ya que dice que el clavo penetra por las partes blandas de la palma de la mano más cercanas a la muñeca, pero angulándose mucho atraviesa la mano por la muñeca (por el carpo), no por la palma.
Teoría de Lagraña, Terraes, Revidatti (p) y Revidatti (h): Estos anatomistas de la Facultad de Medicina de la UNNE proponen en su trabajo “Anatomía de la Crucifixión” que el clavo atraviesa la mano a través del carpo entre los huesos ESCAFOIDES, SEMILUNAR y HUESO GRANDE.
El punto de entrada sobre la muñeca está ½ centímetro más alejado de la palma de la mano que el propuesto por Barbet.
Es una opción probable que lesiona directamente tanto la parte sensitiva como motora del nervio mediano.
|
|
|
|
Rispondi |
Messaggio 7 di 11 di questo argomento |
|
A mi entender ( Dr . Maest ), la única crítica a este buen trabajo es que la experimentación se realiza sobre manos formolizadas para la disección, de manera que los tejidos blandos tienen muy alterados su elasticidad y resistencia, lo que no sucede en la experimentación de Barbet que utilizó manos “vivas”. No obstante parece indudable que el área propuesta puede ser válida.
Como se observa en la radiografía superior el clavo que en la teoría de Barbet “resbala” por la cara cubital del Hueso Grande, lo hace por su cara radial en la teoría de Lagraña y col. ( 1 )
1-http://lasabanaylosescepticos.blogspot.com.es/2012_02_01_archive.html LA SÁBANA Y LOS ESCÉPTICOS - SOBRE EL ESPACIO DE DESTOT Y ALGUNAS COSAS MÁS / MAEST EXCELENTE
2-https://www.facebook.com/joseignacio.martinezmartin/media_set?set=a.10150101595117902.286849.797182901&type=3 EL CRISTO SINDÓNICO DE JUAN MANUEL MIÑARRO . EXCELENTE
3-http://www.egrupos.net/grupo/joseignacio/archivo/indice/1/msg/1640/&actn=findMsg&text=AUTOPSIA%20AL%20HOMBRE%20DE%20LA%20SINDONE AUTOPSIA AL HOMBRE DE LA SÍNDONE EXCELENTE
4-http://www.egrupos.net/grupo/joseignacio/archivo/indice/1/msg/1640/&actn=findMsg&text=AUTOPSIA%20AL%20HOMBRE%20DE%20LA%20SINDONE AUTOPSIA AL HOMBRE DE LA SÍNDONE . EXCELENTE
5-https://www.facebook.com/joseignacio.martinezmartin/media_set?set=a.10150101595117902.286849.797182901&type=3 ALBUM SOBRE EL CRISTO SINDÓNICO DE JUAN MANUEL MIÑARRO . EXCELENTE
6-http://www.shroud.com/zugibe.htm PIERRE BARBET REVISITED - Frederick T. Zugibe, M.D., Ph.D.Adjunct Associate Professor of Pathology, Columbia University, College of Physicians & Surgeons, N.Y. Chief Medical Examiner, Rockland County, N.Y. (Retired).
|
|
|
|
Rispondi |
Messaggio 8 di 11 di questo argomento |
|
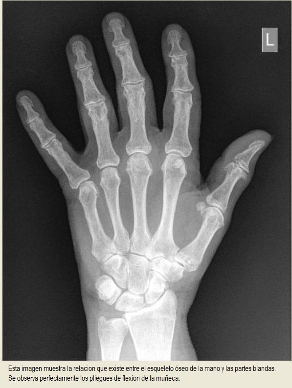
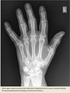
El Espacio de Destot y la Crucifixión - 2 CRISTO SINDÓNICO DE MIÑARRO
Cuando se establece el debate “clavo atravesando la palma de la mano vs. clavo atravesando la muñeca”, puesto que el atravesar la mano para clavarla en el madero implica forzosamente traspasar la estructura ósea y ello es por tanto definitorio, conviene tener en cuenta que la nomenclatura “vulgar” o popular, la anatómica ósea y la anatómica con las partes blandas (tal y como apreciamos a simple vista la mano) no son exactamente superponibles.
Como observamos en estas imágenes en las que se aprecia tanto el esqueleto como las partes blandas, la palma de la mano comprende huesos del carpo, los cinco metacarpianos y parte de las falanges de los dedos a excepción del pulgar.
Al igual que observamos que la muñeca comprende los huesos del carpo, su articulación con los metacarpianos de un extremo y su articulación con el radio del otro extremo. |
|
|
|
Rispondi |
Messaggio 9 di 11 di questo argomento |
|
Así que si nos referimos a la palma en un debate sobre crucifixión queremos referirnos a la plena palma ó al medio de la palma, que es el territorio de los metacarpianos, y si nos referimos a muñeca lo estamos haciendo al territorio de los huesos carpianos y sus articulaciones.
El debate debiera ser pues “clavo atravesando los huesos metacarpianos vs. clavo atravesando los huesos carpianos”.
Pierre Barbet deja claro desde las primeras líneas de su trabajo que rechaza la presencia “en pleine paume les clous du Crucifié” (“en plena palma los clavos del Crucificado”) y afirma que “les clous sont exactement dans le pli de flexion du poignet, les pouces en opposition dans les paumes et légère flexion” ( “los clavos están exactamente en el pliegue de flexion de la muñeca, los pulgares en oposición en las palmas y ligera flexión”).
El pliegue de flexión de la muñeca se corresponde con la proyección sobre la superficie palmar de la articulación entre la primera y segunda fila de los huesos del carpo .
En tanto que Barbet define claramente su propuesta, Zugibe “juega” con las terminologías, la “vulgar”, la anatómica ósea y la anatómica con las partes blandas.
Zugibe establece dos puntos probables de entrada del clavo, pero se decide claramente para introducir el clavo por uno de ellos que sitúa en lo que él denomina “la parte superior de la palma de la mano…..NO EL MEDIO DE LA PALMA” y luego atravesar el esqueleto de la mano por una articulación carpo-metacarpiana, la del metacarpiano II con los huesos grande y trapezoide.
“The upper part of the palm of the hand ... NOT THE MIDDLE OF THE PALM” ( "La parte superior de la palma de la mano ... NO EL MEDIO DE LA PALMA ")
Nos muestra dos fotografías, que yo he colocado juntas, como si formaran parte de una similar maniobra para atravesar la mano utilizando un clavo y una aguja. VEÁMOSLAS AMPLIADAS :
En la fotografía de la izquierda la posición del clavo forma un ángulo de aproximadamente 20º grados con respecto a la vertical sobre el eje brazo-mano.
En la fotografía de la derecha la aguja que traspasa la mano forma un ángulo de aproximadamente 45º grados con respecto a la vertical sobre el eje brazo mano.
Pincha las partes blandas con el clavo cercano a la vertical en la zona de la palma fronteriza a la muñeca para inclinarlo después 45 grados (lo muestra con una aguja y no con el clavo) y atravesar el esqueleto de la mano en el territorio de la muñeca. Es una maniobra de “clavar”completamente absurda.
|
|
|
|
Rispondi |
Messaggio 10 di 11 di questo argomento |
|
A Zugibe le parece sin embargo como la más plausible por una serie de razones a cual más ambigua a mi parecer. Veamos sus “razones”:
- "The palm region is the location most Christians across the centuries perceived the wound to be". ( Parece ser que la zona de la palma es el lugar donde la mayoría de los cristianos a través de los siglos percibe la herida )
- "The path through the upper palm is very strong and anatomically sound ". ("El camino a través de la palma superior es muy fuerte y anatómicamente sólido" )
- "The path ends exactly where the shroud shows the wound image ". ( "El camino termina exactamente donde la mortaja muestra la imagende la herida" ).
- "In the ancient literature, Lipsius and other authors and painters and sculptors related and depicted the hands that were transfixed in crucifixion ". ( En la literatura antigua , Lisipo y otros autores , pintores y escultores relacionados , representan la mano traspasada en la crucifixión por la palma )
- "Fifthly, it assures that no bones are broken in accord with Exodus 12:46 and Numbers 9:12 ".( En quinto lugar se asegura que no hay huesos rotos de acuerdo con Éxodo y Números ) .
- "Sixthly, it explains the apparent lengthening of the fingers of the Turin Shroud because of nail compression at this area ". (En sexto lugar , se explica el aparente alargaminetode los dedos de la Sábana Santa de Turíndebido a la compresión del clavo en esta área ) .
- "Lastly, it is where most of the stigmatists( prior to Dr. Barbet’s book ) like St. Francis of Assisi, Padre Pio, Theresa of Konnersruth, St. Catherine of Sienna, Catherine of Ricci, Louise Lateau, etc. have displayed their wounds throughout the centuries ". ( Por último, es donde la mayoría de los estigmatizados , antes de el libro del Dr. Barbet, como San Francisco de Asís, el Padre Pío, Teresa de Konnersruth, Santa Catalina de Siena, Catalina de Ricci, Louise Lateau, etc, han mostrado sus heridas a lo largo de los siglos ) .
Comentemos sus "razones" :
1.- La palma de la mano es en efecto la región por la cual durante siglos se ha "creído" que fue atravesada por el clavo la mano de Jesús, pero a Zugibe se le olvidó puntualizar que era el MEDIO de la palma de la mano ese sitio "creído" durante siglos y no la zona por él propuesta como "upper part of the palma ( la parte superior de la palma de la mano ). El lector puede entretenerse en ver algo más de doscientas crucifixiones que mantienen lo que digo.
Se deduce de la explicación ddada por Zugibe , que la parte superior de la palma de la mano debe ser el carpo o muñeca .
http://www.artbible.net/3JC/-Mat-27,32_Crucifixion/index.html
Ese primera “razón” que esgrime Zugibe no es favorable precisamente a su propia teoría……..
2.- El paso del clavo entre el metacarpiano II y los huesos grande y trapezoide probablemente pudiera soportar el peso del crucificado, al igual que lo soportarían en las otras teorías.
3.- Afirma Zugibe que el punto de salida del clavo, en el dorso de la mano, es exactamente el que observamos en la Sábana. Esa afirmación no puede mantenerse pues no conocemos exactamente ese punto de salida del clavo.
4.- La mano siempre ha comprendido anatómicamente el carpo, el metacarpo y los dedos, en los tiempos de Lisipo al igual que ahora, por lo que esa cuarta “razón” no tiene ningún sentido.
5.- La no rotura de los huesos, en caso de que así fuera pues Zugibe atraviesa con una aguja gruesa pero no con un clavo cuadrado de 8 mm de sección, sería igualmente concordante con cualquiera de las otras teorías propuestas.
6.- Es posible que un clavo como los supuestos utilizados en la crucifixión provocara un aparente aumento de la longitud de los dedos, pero ello sería común a cualquiera de las teorías propuestas por la enorme dislocación (descolocación - subluxación) de las estructuras óseas, agravada aún mucho más por el peso del cuerpo y los esfuerzos respiratorios.
[ Aunque, y pese a ello, como mostraré de manera muy sencilla en otro post, los dedos tal y como se muestran en la Sábana Santa no están alargados sino, muy por el contrario, están aparentemente acortados…….]
Los dedos paracen ocultarse en la pañma de la mano , ya que el clavo , al pasar por el espacio anatómico de Destot , quizás el más probable atravesado por el clavo , éste roza , penetra o secciona el nervio mediano que discurre por el canal del carpo , ocasionando , la postura de los dedos sobre la mano , con cruce del pulgar hacia la palma y flexion de algunos dedos en dirección palmar ( 4º- 5º ) , mientras que el 2º Y 3º permanecen en extensión , por no ser tributarios de este nervio ( están inervados por en Nervio Ulnaris o Cubital ).
7.- En cuanto a su última “razón”, que haya sido el sitio en que muchos de los “estigmatizados” mostraran sus heridas, Zugibe “remite” al libro de Barbet pero “omite” lo que el cirujano francés escribe sobre cúal era el pensamiento sobre la topografía del punto de entrada del clavo de una gran estigmatizada como Theresa of Konnersruth (Teresa Newman):
"No creo que Nuestro Señor fuera clavado en las palmas donde tengo mis estigmas. Estas marcas tienen un significado místico. Jesús debió ser fijado más sólidamente sobre la Cruz." Teresa Newman.
Theresa of Konnersruth (Teresa Newman)
|
|
|
|
Rispondi |
Messaggio 11 di 11 di questo argomento |
|
A lo que añado que el más importante quizás de los estigmatizados tras San Francisco de Asís, el Padre Pío de Pietrelcina elevado a los altares el 16 de Junio del 2002 bajo el nombre de San Pío de Pietrelcina, a la pregunta de por qué la herida del costado estaba en sitio diferente al atribuido a dicha herida en el Señor, respondía:
Padre Pío de Pietrelcina
"Sería demasiado si fuera exactamente parecida a la del Señor". "Prophet of the people". Dorothy Gaudiose. Alba House. NY,NY.1977. p..63
Creo que los estigmas, tema enormemente complejo y enormemente confuso, deben considerarse en principio, y en lo que respecta a los denominados estigmas "espontáneos", como símbolos místicos sin pretender considerar en ellos un valor "topográfico".
Ya que Zugibe en el inicio de su trabajo hace suyas las palabras de Father Weyland: "Conjeturas y teorías no respaldadas por experimentos realistas siempre me han dejado frío ", debiera haber realizado al menos una mínima experimentación. No es así
En definitiva la teoría del patólogo forense Frederick T. Zugibe, además de confusa y carente de soporte experimental, parece la menos convincente de las tres expuestas . ( 1 )
1-http://lasabanaylosescepticos.blogspot.com.es/search?updated-min=2012-01-01T00:00:00%2B01:00&updated-max=2013-01-01T00:00:00%2B01:00&max-results=11SOBRE LA SÁBANA Y LOS ESCÉPTICOS - EL ESPACIO DE DESTOT Y ALGUNAS COSAS MÁS - 2 / MAEST . EXCELENTE
2-http://www.artbible.net/3JC/-Mat-27,32_Crucifixion/index.html CRUCIFIXIONES EXCELENTE
3-ESTAMPAS DE ESTIGMATIZADOS CONTEMPORÁNEOS EN EL CAMPO DE LA MÍSTICA - FRANCISCO ALONSO FERNÁNDEZ . EXCELENTE
|
|
|
Primo
Precedente
2 a 11 de 11
Successivo
Ultimo
|