|
|
General: CONFIRMADO: EL CORONAVIRUS CHINO SE ACTIVA MEDIANTE LA TECNOLOGÍA 5G
Scegli un’altra bacheca |
|
Rispondi |
Messaggio 1 di 1 di questo argomento |
|
| Da: miser (Messaggio originale) |
Inviato: 28/03/2020 15:37 |
Frente a los "mass media" oficiales, que se diría que siempre están en la inopia, los medios alternativos venimos advirtiendo de la extrañísima coincidencia de que el epicentro del Coronavirus Covid-19 sea también una de las ciudades pioneras en establecer una conectividad del 100% de la peligrosa tecnología 5G. Ahora han salido a la luz las pruebas que demuestran que ambos fenómenos están macabramente conectados
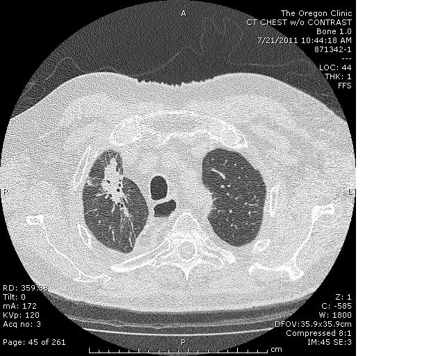
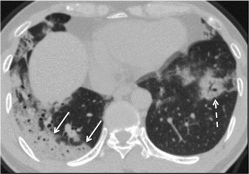
Nueva victoria (en este caso, amarga) de la información alternativa, que llevaba varios años advirtiendo de las trágicas consecuencias de la instalación de las antenas de telefonía 5-G: en un completo informe de Whatdoesitmean que no deja lugar a dudas, se describen las evidencias que asocian el actual coronavirus al 5-G. A la ya sabida certeza de que la ciudad de Wuhan fue el test chino de esta tecnología, se acompaña que el segundo país más infectado, Irán, se había lanzado en los últimos meses a la voraz implantacion de esta tecnología, y que los cruceros donde hay centenares de infectados también llevan estas antenas a bordo.Pero lo más incontestable son las fotos de rayos x de un infectado por coronavirus y uno que ha sufrido de radiación pulmonar son idénticas, así como los síntomas.
 |
Tomografías computarizadas de pacientes con lesión pul- monar inducida por radiación ... |
 |
... coinciden casi exactamente con las tomadas a pacientes infectados con la enfermedad del coronavirus COVID-19 |
Estas incontestables evidencias se ven reforzadas por tres importantes decisiones de gobierno tomadas por los Estados Unidos en los últimos meses:- El pasado 8 de noviembre fue introducido en el congreso el proyecto de ley «Para la seguridad de las redes de telecomunicaciones», que fue aprobada pocos días después por unanimidad entre todos los partidos, y que va a sustituir las redes de antenas actuales por otras de otro tipo, más seguras, debido a que eran conscientes del peligro que tiene el 5-G.
- Ello también explica la cruzada de Trump anti Huawei y las redes chinas de telecomunicaciones; sabía esto mismo.- Por último, la decisión de Trump de crear una fuerza aeroespacial se debe a que quiere contrarrestar la operatividad de los satélites que irradian el mortífero 5-G.En las próximas semanas, se va a producir un intenso debate en torno a este tema, que va a propiciar una nueva batalla, definitiva, de las redes de información en torno a la medicina natural y que va significa el fin del reinado de la Organización Mundial de la Salud.Como decía al principio, una victoria, pero muy muy amarga.(Fuente: Rafapal)
PD: Los habituales voceros del Nuevo Orden Mundial, como EL PAÍS, seguirán proclamando que Trump actúa como un chantajista al forzar a Europa a rechazar la expansión de Huawei. Y, sin embargo, pese a sus maneras de matón, los ciudadanos tenemos que estarle agradecidos por ser el único líder que puede alejar de nosotros una amenaza -la enésima- que le han colado a nuestros políticos en contra de nuestra salud y nuestra seguridad. No solo es la OMS quien queda en evidencia, es también una UE de la que, por algo, Gran Bretaña ha huído echando pestes. |
|
|
Primo
Precedente
Senza risposta
Successivo
Ultimo
|
|
|
| |
|
|
©2025 - Gabitos - Tutti i diritti riservati | |
|
|